








88% of respondents say smiling makes them feel good.

Smiling can add 7 years to your life.

People believe a great smile makes a person look and feel their best.

Smiling can boost your immune system

57% of people say that a smile from a stranger makes them want to smile, and 41% say a smile from a stranger elevates their mood.

92% of respondents believe a smile is a great way to brighten someone's day.

Cosmetic Dentistry in Langhorne, PA
At Alpha Dental Excellence, our award winning cosmetic dentists deliver customized smile transformations focused on aesthetics, function, and long term oral health. From subtle enhancements to full smile makeovers, we combine state of the art digital dentistry, minimally invasive techniques, and artistic precision to help you achieve a confident, radiant smile.
We proudly serve patients across Langhorne, Bucks County, Philadelphia, Princeton, Trenton, and nearby areas.
Award Winning Cosmetic Dentists
Digital Smile Design With Facial Preview
Robotic Guided Implant Technology
Same Day Cosmetic Solutions
Flexible Payment Options
Text us 24/7, same week appointments available
Cosmetic dentistry enhances the appearance, symmetry, and confidence of your smile. Treatment plans are tailored to correct:
Our approach blends art and modern technology to deliver natural, youthful, balanced smile results.
Featured Cosmetic Dentistry Service
A Smile Makeover is a personalized cosmetic plan that combines multiple procedures to create a brighter, straighter, more confident smile.
Our team uses advanced digital technology and facial esthetic design principles to create a smile that fits you perfectly.
See real transformations from Alpha Dental Excellence.
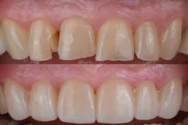
Porcelain Veneers in Langhorne, PA
Porcelain veneers are ultra thin, custom designed shells placed on the front of your teeth to create a bright, balanced, and natural looking smile. They are ideal for fixing chipped, cracked, stained, or uneven teeth, closing gaps, and improving tooth shape and alignment.
Ultra thin porcelain shells that brighten, reshape, and align your natural teeth.
Personalized consultation and digital smile design
Gentle tooth preparation and digital impressions
Temporary veneers to preview your new smile
Final refinements and precision adjustments
Final veneer placement and long term results
Real veneer transformations completed at Alpha Dental Excellence
Composite Bonding in Langhorne, PA
Composite bonding is a minimally invasive cosmetic treatment that uses tooth-colored resin to correct imperfections and enhance your smile. It is ideal for repairing chips, closing gaps, reshaping uneven teeth, improving discoloration, and refining tooth symmetry, all without removing healthy enamel.
Consultation and smile evaluation
Shade matching and light surface preparation
Application and sculpting of composite resin
Curing, shaping, and polishing for a natural finish
Real composite bonding transformations completed at Alpha Dental Excellence
KöR Teeth Whitening in Langhorne, PA
KöR Teeth Whitening is a professional deep bleaching system designed to deliver dramatic, long-lasting results, even for stubborn discoloration such as tetracycline staining. The system restores the tooth’s ability to absorb oxygen, allowing whitening agents to safely break down deep stains and brighten enamel.
In-office evaluation and shade analysis
Custom trays created for optimal seal
In-office whitening plus take-home system
Maintenance protocol for lasting results
Real KöR whitening results completed at Alpha Dental Excellence
Invisalign in Langhorne, PA
Invisalign and clear aligners use custom-designed transparent trays to gently and predictably move teeth into proper alignment without metal brackets or wires. This advanced orthodontic system corrects crowding, gaps, and bite issues while keeping your smile natural throughout treatment.
Orthodontic evaluation and 3D digital scan
Personalized treatment plan and smile preview
Custom aligner fabrication
Wear aligners 20–22 hours per day
Progress checks and refinements
Real Invisalign transformations completed at Alpha Dental Excellence
Dental Implants in Langhorne, PA
Dental implants are advanced titanium posts placed into the jawbone to replace missing teeth and restore full function, stability, and aesthetics. They act as artificial tooth roots and support crowns, bridges, or full-arch restorations, making implants the gold standard for replacing one tooth, multiple teeth, or an entire smile.
Consultation, 3D imaging, and treatment planning
Implant placement, robotic guided options available
Healing and bone integration
Attachment of crown, bridge, or full arch teeth
Many patients qualify for teeth in a day solutions depending on bone support and overall health, providing same day confidence and function with long lasting results.
Providing dental implants in Langhorne, PA, Bucks County, and the greater Philadelphia area, including full mouth dental implants, teeth in a day solutions, and implant supported dentures.

2017
2018
2019
2020
2021
2022
2023
2024
2017
2018
2019
2020
2021
2022
2023
2024


Compassionate, trusted & affordable local dentist providing world-class dentistry in Langhorne, PA.
Compassionate, trusted & affordable local dentist providing world-class dentistry in Langhorne, PA.
240 Middletown Blvd,
Suite 100, Langhorne, PA 19047
(Next to the Oxford Valley Mall & Sesame Place)
(215) 750-2222
Mon & Wed: 9AM-8PM
Tue & Thurs: 9AM-6PM
Fri & Sat : 9AM-3PM
(alternating Saturdays)
Sunday: Closed
240 Middletown Blvd,
Suite 100, Langhorne, PA 19047
(Next to the Oxford Valley Mall & Sesame Place)
(215) 750-2222
Mon & Wed: 9AM-8PM
Tue & Thurs: 9AM-6PM
Fri & Sat : 9AM-3PM
(alternating Saturdays)
Sunday: Closed
© 2025 Alpha Dental Excellence. All rights reserved.
© 2025 Alpha Dental Excellence.
All rights reserved.